Seized 1/25/14-Donations Needed
January 26, 2014 / Ginger's Fund FOS-DCNC / 19 Comments / Uncategorized
The Lexington Police Department was responding to an animal welfare on 1/25/14 where they found this boy cold, shivering, starving, on a heavy tangled chain in need of help. We named him Samuel.
Samuel was seized and immediately taken to Davidson Animal Hospital where he was fed and examined by Dr. Hedrick. Samuel weighed in at 47 lbs, he should weigh around 60 lbs at a healthy weight. He was shivering and his temperature was 99 degrees which is around 2-3 degrees lower than normal. He tested positive for Heartworms, his fecal was also positive for hook and whipworms. Samuel’s hind legs and hip is also causing him to walk and rest abnormally. Dr. Hedrick will be performing x-rays on this area to determine the cause. It is suspected that is possibly due to an old injury and we will know more about what Samuel will require to correct the problem after the x-ray has been taken and reviewed.
Samuel has been vaccinated, nails trimmed and has began his de-worming cycle. He is a very sweet boy and he was so happy to finally be warm, snuggling close to any warm body he could find. Lexington, NC has been enduring a massive arctic cold pattern and recently the high day time temps have been below freezing. Please keep your pets healthy, safe and warm. If you see an animal in need of help do not hesitate, call the authorities immediately. It could be the difference between life and death.
We have been hit hard recently with an influx of cruelty cases and our finances are extremely low. We currently have 10 cruelty survivors in our program 7 of which are at Davidson Animal Hospital, 5 requiring extensive medical care and 3 needing Heartworm treatments.
Donations are greatly needed for Samuel’s medical care. No amount is too small and every penny goes directly towards the care of the animals. Donations can be made online by clicking the donate button at the top of your screen or by mail to: Ginger’s Fund FOS-DCNC, PO Box 1036, Thomasville, NC 27361. Thank you for your support *Ginger’s Fund FOS-DCNC is a 501(c)(3) non-profit, your donations are tax deductible.
**Samuel’s former “owner” has been charged**
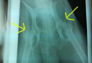
—-X-RAY UPDATE—-
Samuel had his x-rays done today (2/3/14) along with his neuter. As you can see on the right side the femoral head is sitting slightly outside of his pelvic bone (ball and socket joint). The patellas (kneecap) on both of his hind legs are also bad Ibshawāy .
The good news is that Samuel is not in any discomfort although he walks a little different than the other dogs. Also, Dr. Hedrick does not think that he needs surgery at this current time. As Samuel gets healthier he will regain his muscle mass in his hind quarters and this will hopefully help hold all of his joints in place. If it doesn’t then major surgery will be in his future. Please keep him in your thoughts.
Right now Samuel need good nutrition, rest and most importantly TLC.










I donated again last night. IF you cannot foster or adopt you can certainly make a donation and you will get such a great feeling knowing you are helping animals in need
When situations like this happen, are the owners required to pay for any of the required medical care? I know it would probably take forever to get it, but just curious if they are truly held accountable.
I also feel the abuser should be ordered by the court to pay ALL the medical bills to bring an animal back to health by an individual or a qualified rescue.
Sure wish I new how to help a county animal tethered 24/7 in these bitter temps. No help from AC.
no they do not! but they should all the money for the Ginger Fund is donated by caring people
That's the real unfairness of it all – if you injured another person's animal you'd be required to "make them whole" and pay damages. One day …
Yvonne Lorber Matlosz they not only need to pay the cost but also spend time in jail
Stories like this make me ill. It takes a disgusting person to treat an animal this way!
Please share this!! These wonderful people at Ginger's Fund do so much for these animals, and they need our help!!
Hopefully we will be seeing charges pressed against LIL Joshua's owners and the rest as well?????
Anita Roland, there is an organization in Kanawha Co, Dog Bless, they may be able to point you in the right direction for Gary WV
Suellyn Danter Thanks but unfortunately I am in NC.
Just made my donation and very happy to do it!
Renee Vires Honeycutt, i'd take REAL jail time AND community service over cost.
hello — just clicked on button above to donate for Samuel. i know you have others, however, i wanted to specifically donate to his care, but there was no space to add a note. thank you.
I can't thank you enough for saving these poor innocent animals! I have done the same…I stole a dog from people that had a track record of allowing dogs to die in their back yard. First time we went through the ACO BUT he black lab ended up suffering another year and a half! Then they went right out and got a pit pup!!! We were pissed to say the least…they kept him in the house for about four months allowing him to run e streets then…THEY DID IT AGAIN…THEY TIED HIM TO THE TREE! He barked for help for weeks but finally completely gave up…wasn't a year old and wouldn't move his head to look around…defeated. So I had my husband call, anonymously and offered them $300 for he dog…guy said NA, THINK WE WILL KEEP HIM TIED RIGHT THERE! Well, that wasn't going to happen again…my and two friends dressed all in black 1:30 AM ..even the neighbors were desperate for the dog to get help so they shut their motion detector lights off…..I snuck into the yard and fed him bologna while my friend slipped his collar off….and he lived happily ever after with us….that dog..BLUE…never stopped wagging his tail. Then there was a tiny female beagle always outside…I just went to the door, knocked and asked if she wanted her….the lady said NO, TAKE HER….didn't ask one question….the beagle rescue met me and found hr forever home…I got a letter from her owners who thanked me and wanted to be sure to tell me how they love her and how thankfully they were….I won't ever look away…..I also rescued five hens and a Canada goose that was shot under both wings…she's living her life out at a beautiful sanctuary
I will definately donate so this sweet boy can have treatment
What is the "owner's" name?
thank you for helping him and all the others